Aveva aspirato per sbaglio un cacciavite odontoiatrico, i sintomi che avevano insospettito la donna: il caso a Reggio Calabria

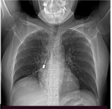
Una tosse insistente e forti dolori toracici hanno convinto una donna di Reggio Calabria a recarsi al pronto soccorso del Grande Ospedale Metropolitano. Quello che i medici hanno scoperto, però, ha quasi dell’incredibile perché nel suo polmone destro era rimasto incastrato un cacciavite odontoiatrico, inalato per sbaglio giorni prima. La scoperta è stata possibile grazie a una Tac che la paziente aveva eseguito per chiarire l’origine dei sintomi. Gli esami che aveva fatto avevano mostrato non solo il corpo estraneo metallico, ma anche la presenza di aria nello spazio tra i polmoni.
L’intervento chirurgico
La paziente si è subito rivolta al pronto soccorso, dove è stata ricoverata e sottoposta a un intervento urgente di estrazione broncoscopica. Grazie al lavoro dei medici, il cacciavite è stato rimosso senza complicazioni e la donna è tornata in salute. «Il decorso postoperatorio, gestito dalla validissima équipe della terapia intensiva post operatoria (T.i.p.o) diretta dal dottore Massimo Caracciolo, è stato regolare e la paziente è stata dimessa in ottime condizioni», ha riferito l’ospedale in una nota.
Le foto del cacciavite
In un comunicato, l’ospedale ha diffuso le foto del cacciavite incastrato, che ha richiesto l’operazione chirurgica per la donna. Dalla struttura sanitaria massimo riserbo su come sia stato possibile che quello strumento fosse finito in quel punto del corpo.


